\n\n
Yazar Portal | Turkiye Interaktif Kose Yazarı Gazetesi
Cumartesi, Mayıs 2, 2026
  • Giriş Yap
  • Ana Sayfa
  • Köşe Yazarları
  • Künye
  • Yayın İlkeleri
  • Yazar Müracaatı
  • Kurumsal
    • Misyon
    • Yayın Grubumuz
    • Logo
    • Reklam Tarifesi
  • Yazar Girişi
  • E-Posta
Sonuç yok
Tüm sonuçları gör
  • Ana Sayfa
  • Köşe Yazarları
  • Künye
  • Yayın İlkeleri
  • Yazar Müracaatı
  • Kurumsal
    • Misyon
    • Yayın Grubumuz
    • Logo
    • Reklam Tarifesi
  • Yazar Girişi
  • E-Posta
Sonuç yok
Tüm sonuçları gör
Yazar Portal | Turkiye Interaktif Kose Yazarı Gazetesi
Sonuç yok
Tüm sonuçları gör
Anasayfa Yazarlar Prof.Dr. Ahmet Rasim KÜÇÜKUSTA

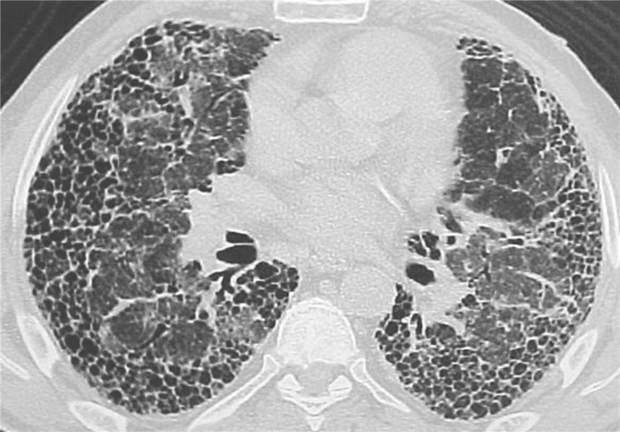
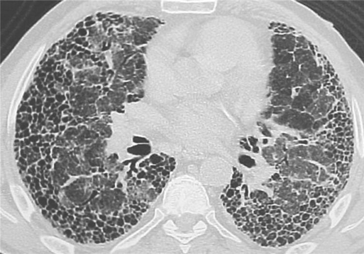
Akciğer Sertleşmesi İçin Yeni Bir İlaç

Prof.Dr. A. Rasim KÜÇÜKUSTA Yazar Prof.Dr. A. Rasim KÜÇÜKUSTA
05 Temmuz 2021
Prof.Dr. Ahmet Rasim KÜÇÜKUSTA, Sağlık & Beslenme
0
Akciğer Sertleşmesi İçin Yeni Bir İlaç
400
Paylaşma
5k
Görüntülenme
Facebook'ta PaylaşTwitter'da Paylaş

INCREASE kısa adlı randomize-kontrollü faz 3 çalışmasında interstisyel akciğer hastalığı (akciğer sertleşmesi) ve akciğer hipertansiyonu olan hastalarda solunum yoluyla uygulanan treprostinil tedavisinin 16. Haftada 6 dakikalık yürüme testi ile değerlendirilen egzersiz kapasitesini plaseboya göre artırdığı gösterilmişti.

Lancet’ de yayınlanan bu bu post-hoc analizde, inhale treprostinilin genel çalışma popülasyonunda ve çeşitli alt gruplarda FVC üzerindeki etkileri incelendi.

İnhale treprostinil FVC’ de plaseboya göre 8. haftada 28.5 ve 16. haftada 44.4 ml artış sağladı; bunlar FVC’ de yüzde 1.8 artışa tekabül ediyordu.

Alt grup analizlerinde idyopatik interstisyel pnömonisi olanlarda FVC’ nin 8. haftada 46.5 ml ve 16. haftada 108,2 ml, idyopatik fibrozisi olanlarda, 8. haftada 84.5 ml ve 16. haftada 168.5 ml arttığı belirlendi.

En sık görülen yan etkiler arasında öksürük, baş ağrısı, nefes darlığı, baş dönmesi, bulantı, yorgunluk ve diyare vardı.

İnterstisyel akciğer hastalığı ve ilişkili akciğer hipertansiyonu olan hastalarda, inhale treprostinil, FVC’ de 16 haftada plaseboya kıyasla iyileşmeler sağladı.

Bu fark en çok idyopatik interstisyel pnömonisi, özellikle idyopatik akciğer fibrozisi olan hastalarda belirgindi.

İnhale treprostinil, prospektif, randomize, plasebo kontrollü bir çalışmada idyopatik akciğer fibrozisi için umut verici bir tedavi gibi görünmektedir; bunun daha fazla araştırmayla doğrulanması icap eder.

Araştırma United Therapeutics Corporation tarafından desteklenmiştir.

İnhale treprostinil nedir?

İnhale treprostinil, Dünya Sağlık Örgütü (WHO) Grup 1 hastalarında pulmoner arteriyel hipertansiyon tedavisi için onaylanmış solunum yoluyla kullanılan bir ilaçtır. İnhale treprostinil, vücutta tabii olarak bulunan ve kan damarlarını genişletme etkisi olan prostasiklininin sentetik bir analoğudur.

İnhale treprostenil, 2009 yılında Amerika Birleşik Devletleri Gıda ve İlaç Dairesi (FDA) tarafından PAH (Akciğer Damarı Hipertansiyonu) için onaylanmıştır.

Solunan treprostinil, akciğerlerdeki daralmış kan damarlarını (arterleri) doğrudan genişletir. Ayrıca trombositlerin birikmesini (pıhtıların bir araya gelerek topaklanmasını) önleyebilir . Akciğerlerdeki kan damarlarının gevşemesi ve genişlemesi, kalbe giden akciğer kan basıncını düşürür ve kalbin yükünü hafifletir. Bu da genellikle hastanın günlük hayatta daha aktif olması ile sonuçlanır (2).

Gelelim neticeye

BİR: İlaç şirketleri tarafından yapılan araştırmalara ne kadar güvenmek gerekirse bu araştırmaya da o kadar güvenilmelidir.

İKİ: Kâğıt üzerindeki fonksiyonel iyileşmenin hastalık belirtilerini ne kadar etkilediği mühimdir.

Kaynaklar:

1. https://www.thelancet.com/journals/lanres/article/PIIS2213-2600(21)00165-X/fulltext

2. https://www.pahssc.org.tr/hastalik/37/pah-tedavileri-2-4-3-inhale-treprostinil-nedir

Makale: Inhaled treprostinil and forced vital capacity in patients with interstitial lung disease and associated pulmonary hypertension: a post-hoc analysis of the INCREASE study.

Paylaş
Etiketler: akciğer hastalığıakciğer sertleşmesiİnterstisyel
Önceki Yazı

Kefaret’in Renkli Karakterleri

Sonraki Yazı

Neyin Kötü Olduğu Belli Değil mi. Mezheb Kötü Değil…Mezhebçilik Kötü…

Prof.Dr. A. Rasim KÜÇÜKUSTA

Prof.Dr. A. Rasim KÜÇÜKUSTA

İlişkili Yazılar

Göz Gördü Gönül Katlanmadı
Hasan TANRIVERDİ

Daldaki Ekmek

20 Mart 2026
5k
Aktüel

Vatandaş İhbar Eder, Devlet Gereğini Yapar: Soframız Kutsaldır

16 Mart 2026
5k
Kimse Türkiye’yi Test Etmesin
Doğa-Çevre

Çevre Bilinci, Vatan Bilincidir

23 Şubat 2026
5k
Gıda Terörü
Anı / Günce

Gıda Terörü

18 Şubat 2026
5k
Sonraki Yazı

Neyin Kötü Olduğu Belli Değil mi. Mezheb Kötü Değil...Mezhebçilik Kötü...

Bir yanıt yazın

E-posta adresiniz yayınlanmayacak. Gerekli alanlar * ile işaretlenmişlerdir

Köşe Yazarları

Türkiye Deprem Haritası

 

Ayın Sözü

Lütfen Duyarlı Olalım!

de, da vb. bağlaçlar ayrı yazılır.

Cümle bitişinde noktalama yapılır. Boşluk bırakılır, yeni cümleye büyük harfle başlanır.

Dilimiz kadar, edebiyatımıza da özen gösterelim.

Arşiv

Sosyal Medya’da Biz

  • Facebook
  • İnstagram
  • Twitter

Entelektüel Künyemiz!

Online Bilgi İletişim, Sanat ve Medya Hizmetleri, (ICAM | Information, Communication, Art and Media Network) Bilgiağı Yayın Grubu bileşeni YAZAR PORTAL, her gün yenilenen güncel yayınıyla birbirinden değerli köşe yazarlarının özgün makalelerini Türk ve dünya kültür mirasına sunmaktan gurur duyar.

Yazar Portal, günlük, çevrimiçi (interaktif) Köşe Yazarı Gazetesi, basın meslek ilkelerini ve genel yayın etik ilkelerini kabul eder.

Yayın Kurulu

Kent Akademisi Dergisi

Kent Akademisi | Kent Kültürü ve Yönetimi Dergisi
Urban Academy | Journal of Urban Culture and Management

Ayın Kitabı

Yazarımız, Sedayi ALTUN’dan,

“Bir Eğitim Yolcusu” adlı güzel bir eser. Yazarımızın eseri, yine bir yazarımız ve Karadeniz Şairler ve Yazarlar Derneği yönetim kurulu üyemizin sahibi olduğu Ateş Yayınlarından çıkmıştır. Kendilerini kutluyoruz.

Gazetemiz TİGAD Üyesidir

YAZAR PORTAL

JENAS

Journal of Environmental and Natural Search

Yayın Referans Lisansı

Creative Commons License
This work is licensed under a Creative Commons Attribution-NonCommercial-NoDerivatives 4.0 International License.

Bilim & Teknoloji

Eğitim & Kültür

Genel Eğitim

Kişisel Gelişim

Çocuk Gelişimi

Anı & Günce

Spor

Kitap İncelemesi

Film & Sinema Eleştirisi

Gezi Yazısı

Öykü Tefrikaları

Roman Tefrikaları

Röportaj

Medya

Edebiyat & Sanat

Sağlık & Beslenme

Ekonomi & Finans

Siyaset & Politika

Genç Kalemler

Magazin

Şiir

Künye

Köşe Yazarları

Yazar Müracatı

Yazar Girişi

Yazar Olma Dilekçesi

Yayın İlkeleri

Yayın Grubumuz

Misyon

Logo

Reklam Tarifesi

Gizlilik Politikası

İletişim

E-Posta

Üye Ol

BİLGİ, İLETİŞİM, SANAT ve MEDYA HİZMETLERİ YAYIN GRUBU

 INFORMATION, COMMUNICATION, ART and MEDIA PUBLISHING GROUP

© ICAM Publishing

Gazetemiz www.yazarportal.com, (Yazarportal) basın meslek ilkelerine uymaya söz vermiştir.
Yazıların tüm hukuksal hakları yazarlarına aittir. Yazarlarımızın izni olmaksızın, yazılar, hiç bir yerde kaynak gösterilmeksizin kısmen veya tamamen alıntı yapılamaz.

Sonuç yok
Tüm sonuçları gör
  • Ana Sayfa
  • Köşe Yazarları
  • Künye
  • Yayın İlkeleri
  • Yazar Müracaatı
  • Kurumsal
    • Misyon
    • Yayın Grubumuz
    • Logo
    • Reklam Tarifesi
  • Yazar Girişi
  • E-Posta

© 2008 - 2021 Yazar Portal | Türkiye Interaktif Köşe Yazarı Gazetesi

Yeniden Hoşgeldin

Aşağıdan hesabınıza giriş yapın

Şifrenimi unuttun?

Parolanızı alın

Şifrenizi sıfırlamak için lütfen kullanıcı adınızı veya e-posta adresinizi girin.

Giriş yap