Akciğer Sertleşmesi İçin Yeni Bir İlaç
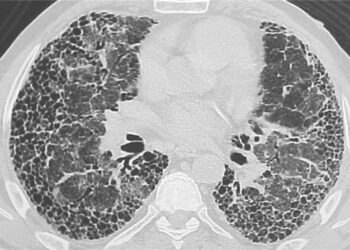
INCREASE kısa adlı randomize-kontrollü faz 3 çalışmasında interstisyel akciğer hastalığı (akciğer sertleşmesi) ve akciğer hipertansiyonu olan hastalarda solunum yoluyla uygulanan ...
\n\n
INCREASE kısa adlı randomize-kontrollü faz 3 çalışmasında interstisyel akciğer hastalığı (akciğer sertleşmesi) ve akciğer hipertansiyonu olan hastalarda solunum yoluyla uygulanan ...

BİLGİ, İLETİŞİM, SANAT ve MEDYA HİZMETLERİ YAYIN GRUBU
INFORMATION, COMMUNICATION, ART and MEDIA PUBLISHING GROUP

© ICAM Publishing
Gazetemiz www.yazarportal.com, (Yazarportal) basın meslek ilkelerine uymaya söz vermiştir.
Yazıların tüm hukuksal hakları yazarlarına aittir. Yazarlarımızın izni olmaksızın, yazılar, hiç bir yerde kaynak gösterilmeksizin kısmen veya tamamen alıntı yapılamaz.